CT Calcium Scoring

Get a Calcium Scoring at South Jersey Radiology

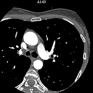
CT calcium scoring, also may be called a coronary calcium scan or heart scan, is a specialized X-ray scan used as a routine screening for early detection of calcium-containing plaque in the arteries. Calcium build up in the coronary arteries affects the level of blood and oxygen delivered to the heart, a key risk factor for heart disease. As calcium builds up in the arteries, they can begin to narrow or become blocked. The narrowing or blockage can result in symptoms such as chest pain, shortness of breath, and/or fatigue.

When is CT calcium scoring recommended?

This routine screening is considered appropriate for men over the age of 40 or women over the age of 50 who are at moderate risk for developing heart disease because of factors such as:

  • Family or personal history of heart problems
  • Past or present tobacco use
  • History of high cholesterol, diabetes, or high blood pressure
  • Overweight or obesity
  • High stress levels
  • Inactive or sedentary lifestyle

While CT calcium scoring is an important imaging technique for early detection of heart disease, it is not routinely covered by health insurance plans. In many cases, it is offered as a self-pay screening and must require an imaging referral from your doctor. If the screening identifies an abnormality that requires additional imaging or treatment, those follow-up procedures are typically covered by most insurance providers.

Our CT Calcium Scoring Locations

South Jersey Radiology offers CT calcium scoring across 11 of our office locations. SJRA offers evening and weekend hours with select locations offering same-day and next-day appointments to meet your busy schedule.

CT Calcium Scoring Locations Near You:

• Haddonfield

• Marlton (Greentree)

• Medford

• Moorestown

• Mount Laurel

• Route 73 (Voorhees)

• Sewell (Washington Twp)

• Turnersville

• Voorhees (Carnie Blvd)

• West Deptford

• Willingboro

24/7 Online Scheduling

Select-Your-Study-Icon

Step 1: Select Your Study & Insurance

Choose your study by imaging technique and primary insurance provider.

Questionnaire-Icon

Step 2: Fill Out Our Brief Questionnaire

Answer our screening questions to ensure the study is right for you.

Select-Date-And-Time-Icon

Step 3: Choose Your Date & Time

Select from one of our locations that works with your schedule

Online-Self-Scheduling-Sign-In

Step 4: Log In to Your Account

Create or log into your appointment management dashboard to confirm.

Patient Reviews

South Jersey Radiology provides inviting outpatient facilities accompanied by friendly and supportive staff, making for a comfortable experience for our patients.

What to expect during your CT Calcium Scoring

Getting a CT calcium score is quick, non-invasive and typically takes less than 15 minutes. Prior to the scan, an electrocardiograph (ECG) machine will have electrodes, or tiny metal discs, placed on your chest to ensure the CT is able to capture images when the heart is not actively contracting. You’ll lie still on a table while the CT scanner, featuring an open back for comfort, captures high-resolution images of your heart. There’s no need to change clothes, and you won’t be given any contrast dye via an IV. Throughout the scan, you will be in steady communication with a trained technologist who will guide you through each step to make sure you are at ease.

View our available CT Calcium Scoring appointments at a location near you today

Understanding Your Results

After your scan, one of our board-certified radiologists will evaluate the images and detail the amount of calcium plaque in each of your heart’s arteries. The results are scored numerically to indicate your risk level for heart disease.

  • 0: No calcium deposits present, indicating a low risk
  • 1 – 10: Minimal calcium deposits, suggesting a low to moderate risk
  • 11 – 100: Moderate calcium deposits, indicating a moderate to high risk
  • 101 – 400: High calcium deposits, indicating a high risk
  • 400 and above: Extensive calcium deposits, indicating a severe risk

Your doctor will receive the full report of the results and analyze it alongside the rest of your medical history. Once reviewed, your doctor will follow-up to help you understand what the scores mean for your heart health and determine whether lifestyle changes, medication, or additional tests are recommended.

Why Choose SJRA for Your CT Calcium Scoring

South Jersey Radiology Associates (SJRA) has set the standard for quality CT imaging across the region since 1938

CT Calcium Scoring Frequently Asked Questions

What is a CT calcium score?

A CT calcium score is a quick, non-invasive screening that measures the amount of calcium plaque built up against the walls of your coronary arteries. The scores provided by the results help assess your risk of developing heart disease before symptoms appear.

Is this scan painful?

A CT calcium score is painless and non-invasive. The scan doesn’t involve any needles, contrast dye, or sedation.

How long does this scan take?

The entire scanning process takes less than 15 minutes to complete with the actual scan time lasting about 10 – 20 seconds.

Do I need to prepare for the scan?

No special preparation is needed .You may be asked to avoid caffeine or smoking just before your appointment to avoid interfering with your results. Specific instructions will be provided prior to your appointment based on your medical history.

Who should consider getting a CT calcium score?

Generally, men over 40 and women over 50 with moderate risk factors such as family history, smoking, high blood pressure, high cholesterol, or diabetes, can benefit most from this screening.

Will my insurance cover the scan?

CT calcium scoring is often not covered by insurance and is offered as a self-pay screening. An imaging referral from your doctor is required to schedule this screening.

If the screening identifies an abnormality that requires additional imaging or treatment, those follow-up procedures are typically covered by most insurance providers.

When will I get my results?

Once your study is completed, one of our board-certified, subspecialized radiologists will analyze the results and develop a detailed report for your doctor. We will make sure your doctor receives your results in time for your follow up visit with them.

How much does a CT calcium scoring cost?

South Jersey Radiology Associates (SJRA) offers a CT calcium scoring for $150.

Now offering Mammo with Cardiac Screening

Your heart tells a story, and your mammogram can help you hear it.

Heart disease is one of the leading health concerns for women, and early signs often go unnoticed.

Mammo with Cardiac Screening evaluates breast arterial calcification (BAC), a finding associated with cardiovascular risk, during a routine screening mammogram — with no additional exam time or radiation.

Starting January 19, you can choose Mammo with Cardiac Screening for a $120 out-of-pocket fee (HSA/FSA eligible).

To schedule Mammo with Cardiac Screening or add it to your upcoming mammogram, call (888) 909-7572.